Smile Gallery
With years of experience perfecting patients’ smiles, our practice can bring your smile back to life. From simple to complex, we have the expertise to create the results you need and want for a healthier, more attractive smile.
Ready to Transform Your Smile?
We invite you to view our smile gallery to see the beautiful results we achieved for our patients. Please contact us today for a consultation with Dr. Amedro.


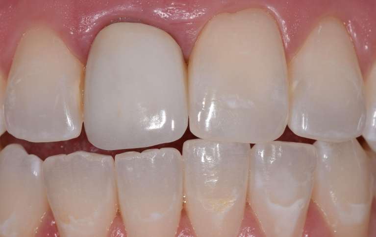
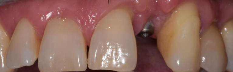
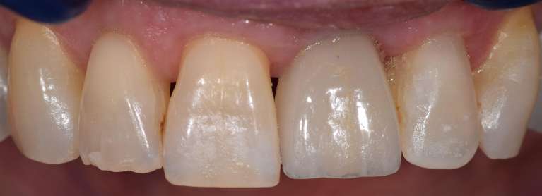
This case showcases the successful integration of a dental implant, providing a durable and natural-looking solution for a missing tooth. Now, this patient can enjoy a stunning smile that's both functional and comfortable.
Dental Implants Designed Just for You
We offer dental implants in Boulder to replace missing teeth and restore your oral health and appearance. Call us today to schedule a consultation!




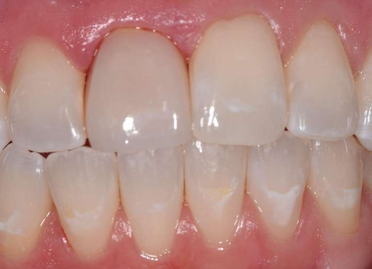
Our skillful craftsmanship restored the natural appearance and function of these front teeth with expertly designed crowns, ensuring a seamless integration with the surrounding teeth.
Restore Your Smile Dental Crowns in Boulder
Do you desire a refreshed smile? Contact us today to schedule a consultation!




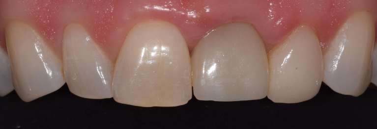
These veneers beautifully enhanced the appearance of this patient's teeth, creating a flawless and radiant smile that complements their unique features. Veneers are versatile and can improve the shape, size, and color of a person's smile.
Call Us for Veneers in Boulder, CO
Our veneers are personalized to enhance your smile and improve your teeth's strength. Call us today to schedule your consultation with Dr. Amedro.


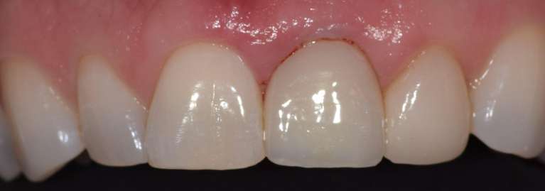
A comprehensive smile transformation was achieved by combining front teeth crowns, veneers, and a dental implant. The result is a harmonious smile that exudes confidence!
Ready to Refresh Your Smile?
Please contact us today to learn more about how we can help you achieve your best smile.


Our precise placement of two front dental implants not only restored this patient’s missing teeth but also rejuvenated the overall aesthetics of their smile.
Enhance Your Smile Today
If you have missing teeth, please contact us today to learn more about our treatment options, like dental implants in Boulder, CO.


A combination of front teeth crowns and veneers revitalized this patient's smile, addressing imperfections and creating a stunning transformation.
Enhance Your Pearly Whites
If you have damaged, decayed, or discolored teeth, we invite you to consult with Dr. Amedro. We have numerous options to restore and enhance your smile.


Dr. Amedro expertly repaired a broken front tooth using a crown, seamlessly blending it with the adjacent teeth for a cohesive smile.
Broken Tooth? Call Us!
Our team provides restorative treatments for damaged and broken teeth, such as natural-looking dental crowns. Call us today to schedule your consultation at our Boulder dental office.




Our artistry in crafting front teeth crowns shines through in this case, where we restored the beauty and functionality of the front teeth. The result is a seamless integration that brings out the natural brilliance of the smile, boosting confidence and radiance.
Dental Crowns Fit for Your Unique Smile
With our meticulous approach, we ensure that each crown is individually tailored to enhance both aesthetics and comfort, leaving our patients with smiles that are as stunning as they are genuine. Call us for a consultation!


This patient was unhappy with their smile's appearance, so we designed a new smile that enhances their oral health and aesthetics. With the "Teeth-in-a-Day" All-on-4® implant procedure, patients can achieve a complete set of teeth in a single day for a stunning smile makeover.
Complete Your Smile in a Single Day
Do you have missing teeth and desire a complete smile? Call us today to schedule a consultation with our implant dentist in Boulder, CO.


This patient came to Diagonal Dental with a worn and discolored front tooth, detracting from their smile. Internal discoloration often indicates compromised tooth roots, so Dr. Amedro recommended a dental implant to replace the tooth.
The new tooth restored chewing function and blends flawlessly into the patient's smile.
Want More Information about Dental Implants in Boulder?
If you're considering tooth implants to restore your smile, Dr. Amedro can guide you through the process. Book an evaluation by calling (303) 449-3131.


A dental implant restored form, function, and aesthetics to this patient's compromised smile. Dental implants closely mimic a natural tooth by replacing the root and crown. A customized porcelain crown blends seamlessly into their smile.
Are You Considering Dental Implants to Restore Your Smile?
Learn more about tooth implants in Boulder by contacting your team at Diagonal Dental at (303) 449-3131.




Experience the transformative power of dental implants at its finest. Our precision placement and advanced techniques ensure that each dental implant seamlessly integrates with your natural smile, providing a permanent and reliable solution for missing teeth.
Ask Us About Dental Implants in Boulder, CO
Whether it's a single tooth or multiple teeth, our expertise in dental implants can restore your smile and boost your confidence, allowing you to enjoy life to the fullest.


Our skilled professionals meticulously placed and integrated dental implants that seamlessly blend into this patient's smile, providing a sturdy foundation for a lifelike tooth replacement. With our precision and expertise, they regained their ability to eat, speak, and smile confidently.
Dental Implants for a Renewed Smile
If you have missing teeth, please contact us to learn about our tooth replacement treatments. We would love to help you renew your smile and confidence!


Rediscover the joy of a complete smile in just one day with our revolutionary "Teeth-in-a-Day" All-on-4® implant procedure. This advanced technique offers a life-changing solution, providing you with a brand-new set of teeth that look, feel, and function naturally.
Say Hello to a Stunning Smile!
Say goodbye to the inconvenience of traditional implants and hello to a stunning smile transformation that brings back your confidence and quality of life—all in a single visit. Contact us today to book your consultation.


Designed to seamlessly blend with this patient's natural teeth, these crowns restored their appearance and enhanced their teeth's strength and durability.
Front Tooth Crowns in Boulder, CO
Whether addressing discoloration, chips, or other imperfections, our front teeth crowns offer a transformative solution that leaves you beaming with pride. Call us today to learn more!


Our skilled team restored this patient’s beauty and functionality, helping them regain the confidence to eat, speak, and laugh without hesitation. With the dental implant procedure, you too can enjoy a stunning smile that radiates health, vitality, and renewed self-assurance from day one.
Unveil Your New Smile
Contact us today to schedule your dental implant consultation with Dr. Amedro.
Dr. Amedro is a great dentist--very professional, yet really friendly. First dentist I know to be positive about how I care for my teeth; he encourages good habits without guilt. The staff is very experienced and friendly as well. I'm very glad he's looking after my teeth!
-Annie N.