Diagonal Dental of Boulder
Home
About
Our Team
Technology
Office Pictures
Services
View All
General Dentistry
Cosmetic Dentistry
Emergency Dentistry
Root Canal Treatment
Dental Implants and All-on-4®
Family Dentistry
Veneers
Crowns and Bridges
Bone Grafting
Extractions
Smile Gallery
Testimonials
Patient Info
View Patient Info
Your First Visit
Financial
FAQs
Blog
Contact
Diagonal Dental of Boulder
Request an Appointment
Watch our Youtube Videos
Leave a Google Review
(303) 449-3131
3400 Penrose Place, Suite 105
Boulder, CO 80301
Patient Portal
Diagonal Dental of Boulder
>
Smile Gallery
>
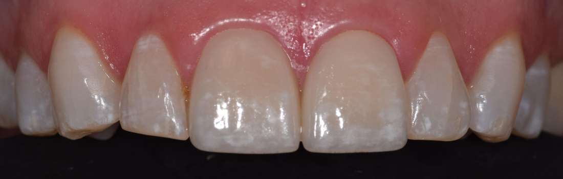
Veneers
Veneers
Return to Smile Gallery
Previous
Next
Related Services:
Veneers
Click image to see a larger picture
Before
After
Not Finding What You Need?
Contact Us
If you have difficulty using our website, please
email us
or call us at
(303) 449-3131
View the
ADA Accessibility Statement
Turn on ADA Views
Privacy Policy
OK!
×
×
Contact Us Today
Give Us A Call
Diagonal Dental of Boulder -
(303) 449-3131
Send Us an Email
Book Online
Contact Us
Ready to Schedule an Appointment?
Book Online
Have Questions? Contact Us:
Required Field
Your Name:
Phone:
Email:
Are you a new patient?:
Are you a?
New Patient
Current Patient
How would you like us to contact you?
Please choose
Email
Call
How did you hear about us?
Please choose
I'm an existing patient
Google/Bing
Mailer
Word of mouth
Social media
Other
Who Referred You?:
Appointment Preferences
Monday
Tuesday
Wednesday
Thursday
Your Message:
This site is protected by reCAPTCHA and the Google
Privacy Policy
and
Terms of Service
apply.
Sending...
×
This Patient's Experience
Loading Testimonial...
Loading Case...