Diagonal Dental of Boulder

Dental Implants

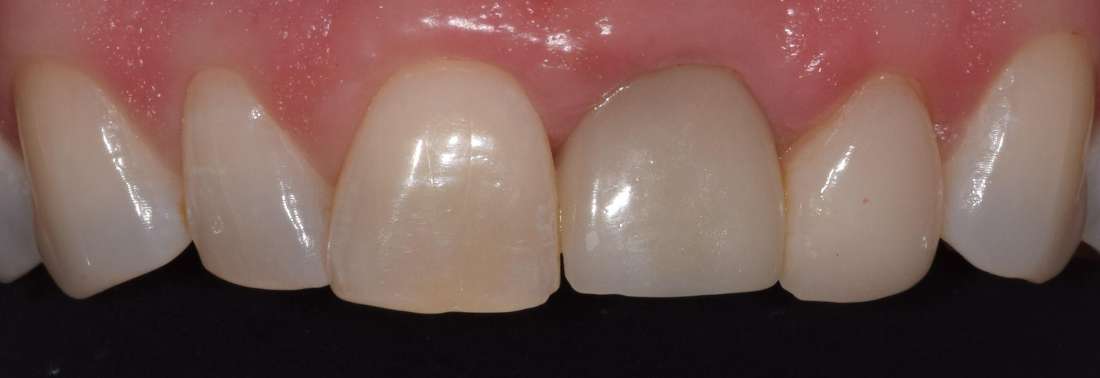
This patient came to Diagonal Dental with a worn and discolored front tooth, detracting from their smile. Internal discoloration often indicates compromised tooth roots, so Dr. Amedro recommended a dental implant to replace the tooth. 

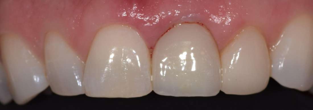
The new tooth restored chewing function and blends flawlessly into the patient's smile.

Want More Information about Dental Implants in Boulder?

If you're considering tooth implants to restore your smile, Dr. Amedro can guide you through the process. Book an evaluation by calling (303) 449-3131.

 

Related Services:

Dental Implants and All-on-4®
Improve your smile today – call to schedule a consultation!
If you have difficulty using our website, please email us or call us at (303) 449-3131
View the ADA Accessibility Statement
Privacy Policy